Ciência popular e notícias | Compartilhando conhecimento e falando sobre notícias populares
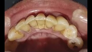
Raspagem Com Ultrassom Passo A Passo, Limpeza dos Dentes com Ultrassom – Remoção de Cálculo Dental, 7.67 MB, 05:35, 322,862, Ligado no Dentista, 2022-01-03T03:00:08.000000Z, 3, Ep. 16 - RASPAGEM COM ULTRASSOM PASSO A PASSO - YouTube, www.youtube.com, 1280 x 720, jpeg, WebAmbos os tratamentos, o ultrassom e a raspagem, são indicados para pacientes que apresentam o acúmulo de tártaro e sinais de gengivite, como sangramentos e. WebO primeiro passo, como mencionado, é a higiene bucal. Nesse contexto, é preciso se atentar às especificidades da sua arcada, como o uso de aparelhos ou. WebA performance de raspadores manuais foi comparada com a de dois tipos de aparelho de ultrassom: o magnetostritivo e o piezoelétrico. Além de comparar os três métodos no., 20, raspagem-com-ultrassom-passo-a-passo, Ciência popular e notícias WebAmbos os tratamentos, o ultrassom e a raspagem, são indicados para pacientes que apresentam o acúmulo de tártaro e sinais de gengivite, como sangramentos e. WebO primeiro passo, como mencionado, é a higiene bucal. Nesse contexto, é preciso se atentar às especificidades da sua arcada, como o uso de aparelhos ou. WebA performance de raspadores manuais foi comparada com a de dois tipos de aparelho de ultrassom: o magnetostritivo e o piezoelétrico. Além de comparar os três métodos no.
Web#mauriciokunitake #justsmile #dicas Ep. 16 - RASPAGEM COM ULTRASSOM PASSO A PASSO 427 views May 27, 2020 11 Dislike Share Mauricio Kunitake 64 subscribers LIVE. WebA raspagem com ultrassom é um tratamento odontológico usado para a remoção de tártaro e placa bacteriana dos dentes, sendo ótima para a prevenção da gengivite..
Método Ramzi funciona? Conheça o procedimento que promete descobrir o
Source: paisefilhos.uol.com.br
Ultrassonografia e Radiografia Veterinária | M.V. Lara Carneiro - Save
Source: savepassofundo.com.br
Na USP de São Carlos: laser e ultrassom tratam paciente acometida por
Source: www.saocarlosagora.com.br
Ultrassom com doppler das artérias carótidas e vertebrais - Instituto
Source: institutodecardiologiaabc.com.br
WebAmbos os tratamentos, o ultrassom e a raspagem, são indicados para pacientes que apresentam o acúmulo de tártaro e sinais de gengivite, como. Web79 views, 2 likes, 1 loves, 0 comments, 0 shares, Facebook Watch Videos from Odonto Dias: 醴 RASPAGEM COM ULTRASSOM A técnica de raspagem consiste em remover. WebA raspagem com ultrassom para remover tártaro dos dentes é uma ferramenta muito utilizada, mas não substitui completamente a raspagem feita com curetas. WebRaspagem periodontal é um tratamento que retira o tártaro acumulado nas superfícies dentais, entre os dentes e a gengiva. O acúmulo de tártaro é muito prejudicial para a. WebA perda de corte desse instrumento leva a uma diminuição da sensibilidade tátil do operador, impõe um aumento na pressão de raspagem, podendo desencadear. Webterapêutica periodontal está fundamentada na remoção da placa dentária, cálculo e produtos tóxicos de origem bacteriana. A eliminação destes depósitos é conseguida. WebMontar o motor de baixa rotação e acoplar o contra-ângulo. 2 – Posicionar o paciente na posição correta: Entregar os óculos de proteção e colocar o babador preso ao jacaré. 3 –. WebDo ponto de vista do profissional, recomendo aliar as duas técnicas na maioria dos casos periodontais. Alguns estudos mostram uma economia de tempo com o.
WebLIVE 727 CONSULTE O SEU DOC JUST SMILE Raspagem com o ultrassom passo a passo. Sua gengiva sangra quando passa o fio dental? Muito cuidado! Temas da live:. WebRASPAGEM ALISAMENTO. remoção de placa, cálculo, e manchas da coroa/raiz. (caracteristicas dos aparelhos ultrassonicos) ⤳ o ultrassom quebra o cálculo através. WebPrimeiro passo: definir os dados que você quer extrair Usando as informações disponíveis no hostelworld.com/hostels/Berlin , nosso objetivo é criar uma tabela contendo: Nome do.
WebMontar o motor de baixa rotação e acoplar o contra-ângulo. 2 – Posicionar o paciente na posição correta: Entregar os óculos de proteção e colocar o babador preso ao jacaré. 3 –. WebDo ponto de vista do profissional, recomendo aliar as duas técnicas na maioria dos casos periodontais. Alguns estudos mostram uma economia de tempo com o. WebA raspagem com ultrassom é um procedimento normalmente indicado para o tratamento de complicações causadas pela formação do biofilme bacteriano na superfície dos dentes, e.